Corneal Disease
Corneal Disease
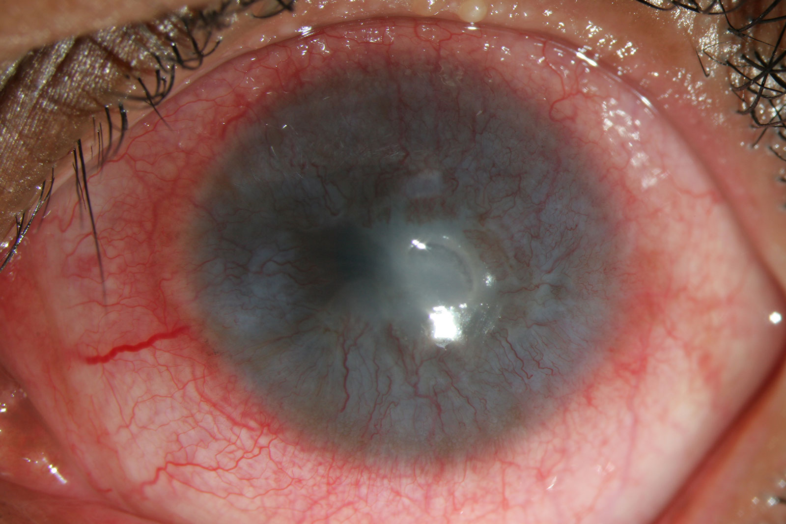
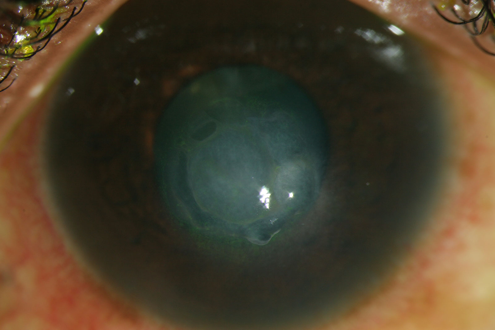
The cornea is the clear, transparent tissue at the front-most part of the eye, functioning as the window to the eye. The cornea, together with the natural lens inside the eye, refract (or bend) light coming from the outside world and refocus them onto the retina for a clear image. Therefore, any disease or process that interferes with the cornea may interfere with this light-bending process and blur one’s vision.
Corneal diseases result from many causes ranging from infectious, inflammatory, structural, and traumatic origins. A few examples are illustrated below. If you have a corneal disease that adversely affects your sight, please see our fellowship-trained cornea specialist for a medical consultation. Some corneal diseases may cause irreversible vision loss if not treated in a timely manner.








